

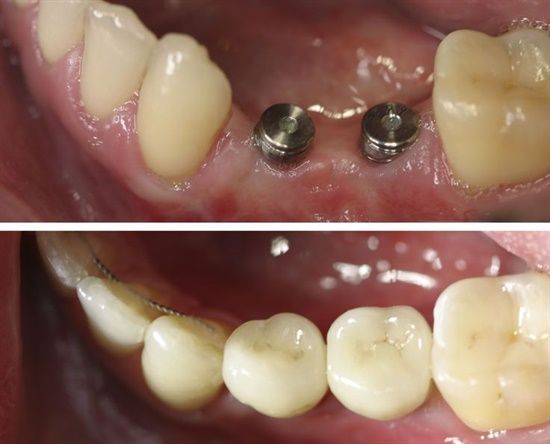
Implantologjia dentare është një procedurë e avancuar që përdoret për të zëvendësuar dhëmbët e humbur ose të dëmtuar. Me anë të një impiant të vendosur kirurgjikisht në kockën e nofullës, mund të restaurohet funksionaliteti dhe estetika e dhëmbëve të humbur, duke krijuar një zgjidhje afatgjatë dhe të natyrshme. Në Zircon Dental Clinic, përdorim teknologjinë më të avancuar dhe materiale të cilësisë më të lartë për të siguruar rezultate të shkëlqyera dhe një rikuperim të shpejtë.
Restaurimi i funksionit dhe estetikës: Implantet dentare ofrojnë një zgjidhje të shkëlqyer për rikthimin e funksionit të dhëmbëve të humbur dhe përmirësimin e pamjes estetike të buzëqeshjes tuaj.
Teknologji e Avancuar: Ne përdorim teknologji të sofistikuar për planifikimin dhe vendosjen e implanteve, për të siguruar saktësi dhe siguri maksimale gjatë procedurës.
Materiale Cilësore: Implantet që përdorim janë të përbëra nga materiale biokompatibile, të cilat bashkohen natyrshëm me kockën e nofullës dhe sigurojnë një rezultat të qëndrueshëm dhe afatgjatë.
Rikuperim i Shpejtë dhe i Sigurt: Me procedura të avancuara dhe ekip të kualifikuar, shërimi pas implantimit të dhëmbëve është i shpejtë dhe pa dhimbje të mëdha.
Procedura e vendosjes së implantit është kryesisht pa dhimbje, pasi kryhet nën anestezi lokale. Pas operacionit, mund të ndjeni pak ndjesi të pakëndshme, por kjo mund të menaxhohet me analgjezike.
Procesi i integrimit të implantit me kockën, i njohur si osseointegrimi, mund të zgjasë nga 3 deri në 6 muaj, në varësi të shëndetit të pacientit dhe kushteve të kockës.
Implantet dentare janë shumë të qëndrueshme dhe mund të zgjasin për shumë vite, madje edhe dekada, nëse mbahen dhe mirëmbahen siç duhet. Pastrimi i rregullt dhe vizitat periodike te dentisti ndihmojnë në ruajtjen e qëndrueshmërisë së tyre.
Ne kujdesemi gjithmonë për buzëqeshjen tuaj
+355 69 202 3070